Choriocarcinoom

Een choriocarcinoom is een kwaadaardige tumor  van de trofoblastcellen en valt onder de Gestational Trophoblastic Disease (GTN). Onder de microscoop ziet een choriocarcinoom er wel anders uit dan een mola-zwangerschap. Een choriocarcinoom wordt meestal voorafgegaan door een mola-zwangerschap, maar kan ook optreden na een normale voldragen zwangerschap.  De diagnose choriocarcinoom wordt gesteld op basis van weefselonderzoek.

Heel soms ontstaat een choriocarcinoom zonder dat een zwangerschap er aan voorafgaat. Dit is een kiemceltumor en kan in de eierstok ontstaan. Een kiemceltumor ontstaat door een fout in de ontwikkeling van een van de geslachtscellen. Kiemcellen zijn voorlopers van eicellen (bij meisjes) of zaadcellen (bij jongens). Meestal zit de tumor onderaan de wervelkolom (vooral bij zuigelingen), of in de geslachtsorganen (eierstok of zaadbal), soms in de hersenen en minder frequent op een andere plek. De informatie op deze website is NIET van toepassing op deze soort kanker.

Hoe vaak komt het voor?

Het choriocarcinoom na een voldragen zwangerschap is zeldzaam en komt 3 maal per 100.000 bevallingen voor. Dat betekent dat er in Nederland jaarlijks bij enkele vrouwen de diagnose choriocarcinoom wordt vastgesteld. Het kan lastig zijn om de diagnose snel te stellen omdat bijpassende klachten zoals bloedverlies vaak na een bevalling optreden.

Behandeling

Patiënten met een choriocarcinoom na een voldragen zwangerschap worden in Nederland tot de hoog risicogroep trofoblastziekten gerekend en ook zo behandeld.

Meestal genezen zij niet met alleen methotrexaat (MTX) maar zijn er meer chemotherapeutica nodig. 

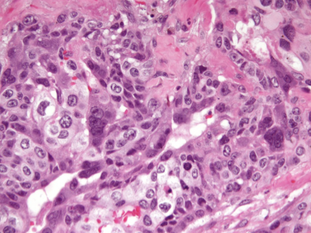
Trofoblast 5 Voorhetgesprek Microscoop
Het beeld van een choriocarcinoom zoals de patholoog dat ziet door de microscoop.

Wat is PSTT en ETT?

Placental Site Trophoblastic Tumors (PSTT) en Epithelioid Trophoblastic Tumors (ETT) zijn zeer zeldzame kwaadaardige trofoblastziektes. Dit is ook de reden dat er nog geen Nederlandse term voor bestaat. Beide tumoren ontstaan uit de overmatige groei van trofoblastcellen, in het gebied waar de placenta zich in de baarmoederwand had genesteld. De tumoren ontstaan bijna altijd na een voldragen zwangerschap. PSTT en ETT tumoren produceren weinig hCG. Soms worden ze pas jaren na een zwangerschap vastgesteld. Deze zeldzame trofoblastziekten zijn in de regel minder gevoelig voor chemotherapie. Daarom wordt er (indien mogelijk) meestal voor een operatieve behandeling gekozen. Deze behandeling bestaat vaak uit het verwijderen van de baarmoeder. Soms is een combinatie met chemotherapie wel nodig. Bijvoorbeeld als er uitzaaiingen zijn of als er veel tijd is verstreken tussen de laatste zwangerschap en deze ziekte.

PSTT

  • Komt voor 1 op de 100.000 zwangerschappen
  • Circa 2 nieuwe patiënten in Nederland per jaar

ETT

  • Komt voor 1 op 1 miljoen zwangerschappen
  • Circa 1 nieuwe patiënt in Nederland per 5 jaar


Twee zeer zeldzame goedaardige trofoblastziektes die uit hetzelfde deel van de moederkoek ontstaan zijn: Exaggerated placental site reaction  (EPS) en Placental site nodule (PSN).

Trofoblast 5 Voorhetgesprek Onderzoeker
PSTT, ETT, EPS en PSN lijken op celniveau veel op elkaar, daarom wordt het tumorweefsel soms nog een keer (ter revisie) onderzocht in een ander ziekenhuis of land, door een patholoog die gespecialiseerd is in trofoblastziekten. Er worden ook wel eens mengbeelden van de zeldzame trofoblastziektes gezien. 

Het kan lastig zijn voor onervaren pathologen om de PSTT, ETT, EPS en PSN goed te onderscheiden

EPS komt 7 op de 100.000 zwangerschappen voor en PSN 8 op de 100.000 zwangerschappen.

Een PSN kan ook een atypisch aspect hebben en wordt dan Atypical Placental Site Nodule (APSN) genoemd. Dit is heel zeldzaam en hier is nog weinig over bekend. Soms is er tegelijkertijd een APSN en een ETT of PSTT aanwezig. Daarom wordt vaak een MRI gemaakt.

Test uw kennis

Welke zeldzame trofoblastziekten komt meest voor?

Choriocarcinoom komt het meest voor.

Welke zeldzame trofoblastziekte komt het minst vaak voor?

ETT is de zeldzaamste soort.

PSTT is zeldzamer dan choriocarcinoom, maar komt vaker voor dan choriocarcinoom.

onload