Witte bloedcellen voeden hersentumoren met cholesterol

13 aug. 2024 08:00

Onderzoek van het Nederlands Kanker Instituut, het onderzoeksinstituut van het Antoni van Leeuwenhoek, toont aan dat witte bloedcellen, die zich laden met cholesterol, een belangrijke rol spelen bij de groei van glioblastoom, de meest agressieve vorm van hersenkanker. Deze zogenoemde vetgeladen macrofagen beïnvloeden de lokale afweerreactie en helpen de tumor te overleven.

In Nederland krijgen jaarlijks 500 tot 700 mensen de diagnose glioblastoom, een vorm van hersenkanker die nog niet te genezen is. Glioblastoom is moeilijk te behandelen vanwege de grote variatie in tumor-subtypes en immuunreacties. Traditionele behandelingen zijn vaak niet succesvol omdat glioblastoomcellen resistent zijn en moeilijk te bereiken.

Figuur A - vet-geladen macrofaag in glioblastoom die myeline opneemt

Figuur A

Een vet-geladen macrofaag in een glioblastoom (paars) in een muis die myeline opneemt (geel).

Na de opname van de myeline worden de vetten hergebruikt en bewaard in vet druppels (wit).
Figuur B - 3D model vet-geladen macrofaag in glioblastoom die myeline opneemt

Figuur B

Een 3D model van een vet-geladen macrofaag (blauw is het cellichaam, rood de kern) in een glioblastoom bij een muis die myeline opneemt (geel).

Na de opname van de myeline worden de vetten hergebruikt en bewaard in vet druppels (oranje).

In Nederland krijgen jaarlijks 500 tot 700 mensen de diagnose glioblastoom, een vorm van hersenkanker die nog niet te genezen is. Glioblastoom is moeilijk te behandelen vanwege de grote variatie in tumor-subtypes en immuunreacties. Traditionele behandelingen zijn vaak niet succesvol omdat glioblastoomcellen resistent zijn en moeilijk te bereiken.

Vette cellen

Onder leiding van groepsleider Leila Akkari ontdekte een team van onderzoekers dat de macrofagen, die normaal gesproken helpen bij het opruimen van schadelijke stoffen in het lichaam, in glioblastomen anders functioneren dan normaal. Ze bestudeerden zowel het weefsel van proefdieren als datasets van patiënten met glioblastoom en zagen daar een groep macrofagen met veel vetdeeltjes. “Naast het feit dat deze macrofagen veel vet bevatten, ontdekten we ook dat ze het immuunsysteem onderdrukken wat er mogelijk voor zorgt dat immuuntherapie niet werkt bij deze vorm kanker”, zegt postdoc onderzoeker Johanna Erbani.

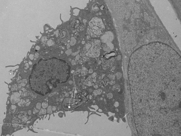
Figuur C - interactie vet-geladen macrofaag en glioblastoom

Figuur C

Een microscopie plaatje die de interactie laat zien tussen een vet-geladen macrofaag (links) en een glioblastoom cel (rechts).

Myeline is zichtbaar (de ronde gelaagde structuren) waarnaast vetdruppels zichtbaar zijn.

Maar hoe komen de macrofagen aan deze vetten, vroegen Akkari en haar collega’s zich af. In de hersenen bevinden zich miljarden zenuwen die beschermd worden door een laag myeline die rijk is aan vetten zoals cholesterol. Macrofagen zijn gespecialiseerd in het opruimen van schadelijke deeltjes. “Wat we zien in het lab is dat de macrofagen nadat ze de glioblastoom binnendringen de myeline-laag van stervende zenuwcellen opruimen en zich vervolgens laden met het cholesterol”, vertelt promovendus Daan Kloosterman. “Dit cholesterol geven ze af aan de tumorcellen die het gebruiken om sneller te delen en dus sneller te groeien.”

Nieuw mechanisme

Groepsleider Leila Akkari: “Dat de energiehuishouding van cholesterol belangrijk is voor ontwikkeling van glioblastoom is al een tijdje bekend. Echter was de rol van macrofagen hierin tot nu toe nog niet beschreven. Dit onderzoek onthult een compleet nieuw mechanisme waarbij tumorcellen indirect vetten verkrijgen via recycling door de macrofagen.”

Deze doorbraak biedt hoop voor nieuwe behandelingsstrategieën die de groei van glioblastomen kunnen vertragen of stoppen door de tumoren te beroven van de vetten die ze nodig hebben. Het team werkt nu aan therapieën die deze specifieke macrofagen kunnen uitschakelen en zo de effectiviteit van bestaande kankerbehandelingen kunnen verbeteren.

Dit onderzoek is gefinancierd door KWF Kankerbestrijding, Oncode Institute, European Research Council (ERC), Nederlandse Organisatie voor Wetenschappelijk Onderzoek (NWO) en stichting Anniek Hendriksz.

onload