Wat zijn trofoblastziekten?
Trofoblastziekten is de naam voor verschillende ziektebeelden die hun oorsprong vinden in de cellen die de moederkoek (gaan) vormen tijdens een zwangerschap. De moederkoek wordt ook wel de placenta genoemd.
Soorten trofoblastziekten
Meest voorkomende trofoblastziekten:
- Complete mola hydatidosa (lees meer)
- Partiële mola hydatidosa (lees meer)
- Gestational Trophoblastic Disease (GTN) (lees meer)
Zeldzame trofoblastziekten:
- (nonmola) Choriocarcinoom (lees meer)
- Placental Site Trophoblastic Tumor (PSTT) (lees meer)
- Epithelioïid Trophoblastic Tumor (ETT) (lees meer)
- Placental Site Nodule (PSN) (lees meer)
- Exaggerated Placental Site Reaction (EPS) (lees meer)
Elk van deze ziekte heeft zijn eigen kenmerken en beloop. Daarom is het belangrijk om onderscheid te maken tussen deze verschillende vormen. Wat trofoblastziekten gemeenschappelijk hebben is dat ze ontstaan uit trofoblastcellen; deze trofoblastcellen produceren het zwangerschapshormoon hCG. Het hCG is een belangrijke merkstof voor de ziekteactiviteit.
Trofoblastziekten zijn zeldzaam en komen 1 tot 2 keer per 1000 zwangerschappen voor.
De Engelse term voor trofoblastziekten is: Gestational Trophoblastic Disease (GTD)
Goedaardige en kwaadaardige trofoblastziekten
Het beloop van trofoblastziekten varieert van relatief onschuldig tot zeer ernstig en levensbedreigend. Een aanvankelijk goedaardige trofoblastziekte kan zich ontwikkelen tot een vorm van kanker die kan uitzaaien en uitgebreidere therapie behoeft. Deze kwaadaardige trofoblastziekten worden ook wel trofoblasttumoren genoemd.

Schematische weergave indeling trofoblastziekten.
* Persisterende trofoblastziekte
Een complete of partiële mola-zwangerschap is een goedaardige trofoblastziekte. De mola-zwangerschap kan zich echter ontwikkelen tot een Gestational Trophoblastic Neoplasia (GTN). Dit noemden we vroeger ‘persisterende trofoblastziekte' maar tegenwoordig gebruiken we de internationale term GTN. GTN kan als een vorm van kanker kan worden beschouwd.
Exaggerated Placental Site Reaction (EPS) en Placental Site Nodule (PSN) zijn zeer zeldzame goedaardige trofoblastziekten. Het choriocarcinoom, PSTT en ETT worden altijd als kanker beschouwd.
Hoe wordt een trofoblastziekte vastgesteld?
De klachten kunnen uiteenlopend zijn, maar vaak betreft het vaginaal bloedverlies aan het begin van een zwangerschap en misselijkheid.
Het kan ook zo zijn dat er geen klachten zijn, maar dat bij de eerste echo een afwijkend beeld wordt gezien.
Lichamelijk onderzoek
Bij het eerste consult zal de arts een in- of uitwendig onderzoek verrichten. De arts voelt onder andere hoe groot de baarmoeder is en kijkt of er afwijkingen zijn in bijvoorbeeld de vagina.
Een inwendig onderzoek is een gynaecologisch onderzoek van de vagina en de baarmoedermond waarbij met een speculum (eendenbek) de baarmoedermond en de vaginawanden worden beoordeeld en daarnaast (met twee vingers via de vagina) de grootte van de baarmoeder en eventueel eierstokken wordt beoordeeld.
Echoscopie
Bij een verdenking op een trofoblastziekte bekijkt de arts met behulp van transvaginale echo of er een beeld van een trofoblastziekte is. Uiteraard wordt ook naar andere afwijkingen gekeken omdat de diagnose pas zeker gesteld kan worden na het weefselonderzoek na de curettage. Een transvaginale echo is een echo via de vagina en wordt ook wel inwendige echo genoemd.
Tijdens een inwendige echoscopie worden de baarmoeder en de eierstokken in beeld gebracht. Dat gebeurt met ultrageluidsgolven, die het menselijk oor niet kan horen. De inwendige organen kaatsen de geluidsgolven terug. De geluidsgolven worden opgevangen en daardoor worden de organen zichtbaar gemaakt. Voor dit onderzoek wordt de echoprobe ingebracht in de vagina. Het inbrengen doet meestal geen pijn. Echoscopie heeft geen nadelen voor de patiënt en is niet schadelijk.
Laboratoriumonderzoek
Bij verdenking op een trofoblastziekte wordt bloedonderzoek gedaan. Daarbij wordt met name de hoogte van het zwangerschapshormoon (humaan chorion gonadotrofine) hCG in het bloed bepaald. Omdat trofoblastziekten verschillende vormen van hCG kunnen produceren, wordt het bloed opgestuurd naar een gespecialiseerd referentie laboratorium in Nijmegen.
Weefselonderzoek
Weefselonderzoek is noodzakelijk om een trofoblastziekte en het type trofoblastziekte vast te stellen. Het weefsel is meestal afkomstig uit de baarmoeder en wordt verkregen tijdens een curettage, een hysteroscopie of bij het verwijderen van de baarmoeder.
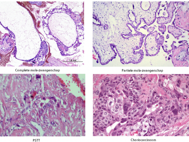
Het weefselonderzoek wordt verricht door een patholoog in het laboratorium met behulp van microscopisch onderzoek. Aan de hand van de verschillende kenmerken kan de patholoog onderscheiden om welk soort trofoblastziekte het gaat.
Hiernaast ziet u het beeld van een complete mola-zwangerschap zoals de patholoog dat ziet door de microscoop.

Een enkele keer wordt een afwijking elders in het lichaam onderzocht die verdacht is voor een uitzaaiing.
Bij een kwaadaardige trofoblastziekte zal de gynaecoloog naast bovengenoemd onderzoek nog aanvullend onderzoek doen om de uitgebreidheid van de ziekte te bepalen en om te onderzoeken of er uitzaaiingen zijn. U kunt één of meer van de volgende onderzoeken krijgen:
Kan de ziekte zich buiten de baarmoeder verspreiden?
Kwaadaardige trofoblastziekten (tegenwoordig Gestational Trophoblastic Neoplasia genoemd) kunnen uitzaaien. Een trofoblastziekte kan via het bloed uitzaaien naar de longen, vagina, lever, milt en hersenen. Via de lymfebanen kan een trofoblastziekte zich uitzaaien naar de lymfklieren. Meestal worden uitgezaaide trofoblastziekten behandeld met chemotherapie. Uitzaaiingen in de longen en vagina zijn over het algemeen heel goed te behandelen met chemotherapie. Soms wordt een uitzaaiing chirurgisch verwijderd.
Als er uitzaaiingen zijn, kunnen er klachten optreden die door de uitzaaiingen worden veroorzaakt. Zoals hoesten bij uitzaaiingen in de longen (soms met bloed) of neurologische klachten bij uitzaaiingen in de hersenen.
Hoe en waar worden trofoblastziekten behandeld?
De goedaardige trofoblastziekte mola hydatidosa kan in principe worden behandeld in ieder ziekenhuis. Er wordt als eerste behandeling een vacuümcurettage verricht door een gynaecoloog.
Een kwaadaardige trofoblastziekte wordt bij voorkeur behandeld in een gespecialiseerd centrum. Behandelingen met chemotherapie worden begeleid door een medisch oncoloog. Sommige patiënten krijgen een combinatie van een operatie en chemotherapie. Bij een kwaadaardige trofoblastziekte hangt de behandeling af van het stadium en de soort trofoblastziekte.
Meer over zeldzame trofoblastziekten
Richtlijnen voor trofoblastziekten kunt u hier vinden.
Chemotherapie:
- Enkelvoudige chemotherapie
- Gecombineerde chemotherapie
Operatie:
- Vacuümcurettage
- Verwijderen van de baarmoeder (eventueel met eierstokken, klieren en aangedaan weefsel in het bekken)
- Verwijderen van uitzaaiing(en) (metastatectomie)

Test uw kennis
Zijn deze stellingen juist of onjuist?
Test uw kennis door na te gaan of de volgende stellingen juist of onjuist zijn.
Klik op een stelling om het antwoord te bekijken en meer informatie te lezen.
Trofoblastcellen zijn belangrijke merkstoffen voor de ziekteactiviteit.
Onjuist
Trofoblastcellen produceren het zwangerschapshormoon hCG. Dit hormoon is een belangrijke merkstof is voor de ziekteactiviteit.
Een trofoblastziekte is altijd kwaadaardig.
Onjuist
Een mola-zwangerschap, Exaggerated Placental Site reaction (EPS) en Placental Site Nodule (PSN) zijn voorbeelden van goedaardige trofoblastziekten.
Aanvullend onderzoek zoals een CT-scan of MRI-scan, wordt bij alle soorten trofoblastziekten verricht.
Onjuist
Aanvullend onderzoek wordt alleen verricht indien er sprake is van een kwaadaardige trofoblastziekte. Dit wordt gedaan om de uitgebreidheid van de ziekte te bepalen en om te onderzoeken of er uitzaaiingen zijn.
Trofoblastziekten worden behandeld met een operatie en/of chemotherapie.
Juist
Trofoblastziekten worden behandeld met een operatie en/of chemotherapie